© Creative Endeavors - stock.adobe.com

49. Jahrestagung der Österreichischen Gesellschaft für Pneumologie (ÖGP)

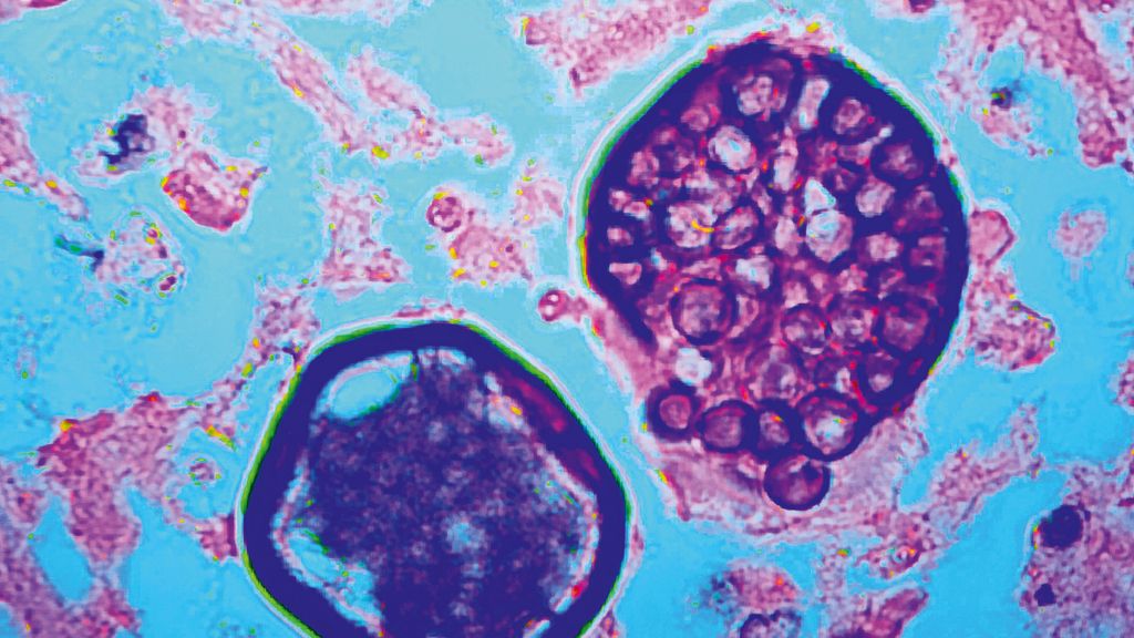
Seltene pulmonale Mykosen: Reisemitbringsel oder doch schon heimisch?

Endemische systemische Mykosen werden überwiegend durch Schimmelpilze verursacht, die im menschlichen Organismus charakteristische Hefeformen annehmen. Klima- und Landnutzungswandel können die ökologischen Nischen verschieben, sodass Expositionen außerhalb der klassischen Endemiegebiete wahrscheinlicher werden.

Endemische Systemmykosen werden überwiegend durch thermodimorphe Pilze verursacht, die in der Umwelt als Schimmel wachsen und im menschlichen Gewebe bei 37°C charakteristische Hefeformen annehmen. Klinisch relevant sind vor allem Histoplasma, Coccidioides, Blastomyces und Paracoccidioides. Daneben treten mit Talaromyces marneffei und den Kryptokokken opportunistische Systemmykosen auf, die besonders bei Patien-t:innen mit T-Zell-Defekten disseminieren und nicht selten die Lunge betreffen.

Sie sind bereits registriert?
Loggen Sie sich mit Ihrem Universimed-Benutzerkonto ein:

Login

Sie sind noch nicht registriert?
Registrieren Sie sich jetzt kostenlos auf universimed.com und erhalten Sie Zugang zu allen Artikeln, bewerten Sie Inhalte und speichern Sie interessante Beiträge in Ihrem persönlichen Bereich zum späteren Lesen. Ihre Registrierung ist für alle Unversimed-Portale gültig. (inkl. allgemeineplus.at & med-Diplom.at)

Registrieren

Back to top