VIH et sida: un problème secondaire?
Auteur:
Pr Dr méd. Mark Oette
Klinik für Allgemeine Innere Medizin, Gastroenterologie und Infektiologie
Cellitinnen-Severinsklösterchen
Krankenhaus der Augustinerinnen
Köln
E-mail: m.oette@t-online.de
Sie sind bereits registriert?
Loggen Sie sich mit Ihrem Universimed-Benutzerkonto ein:
Sie sind noch nicht registriert?
Registrieren Sie sich jetzt kostenlos auf universimed.com und erhalten Sie Zugang zu allen Artikeln, bewerten Sie Inhalte und speichern Sie interessante Beiträge in Ihrem persönlichen Bereich
zum späteren Lesen. Ihre Registrierung ist für alle Unversimed-Portale gültig. (inkl. allgemeineplus.at & med-Diplom.at)
Les options de traitement antiviral de l’infection par le VIH s’améliorent continuellement. D’autre part, les problèmes de comorbidités occupent davantage le devant de la scène, car ils deviennent de plus en plus importants dans une population vivant avec le VIH vieillissante et dominent la prise en charge quotidienne. L’infection par le VIH est-elle devenue un problème secondaire?
Keypoints
-
L’amélioration de l’espérance de vie des personnes vivant avec le VIH ne profite pas de la même manière à tous les groupes de patient·es. Des efforts supplémentaires doivent être fournis pour combler ces écarts.
-
De nombreuses comorbidités dominent de plus en plus la prise en charge quotidienne. Outre l’infectiologie, un nombre croissant de disciplines interviennent. L’infectiologie joue un rôle central.
-
Compte tenu des aspects mentionnés, l’infection par le VIH ne doit pas être considérée comme un problème secondaire, mais comme un élément de liaison central de la prise en charge.
L’espérance de vie des personnes vivant avec le VIH continue de se rapprocher de celle de la population générale. Dans la cohorte suisse, qui se caractérise par une excellente documentation, on constate une augmentation spectaculaire de l’espérance de vie au cours des dernières décennies.1Néanmoins, les courbes ne correspondent pas à celles de la population séronégative pour le VIH. Si l’on observe l’évolution en tenant compte de la strate sociale, on constate en outre que l’écart le plus important par rapport à la population générale concerne les groupes des strates inférieures. Une autre étude donne une indication sur l’origine de l’impression d’une espérance de vie normale.2La courbe de survie ne se rapproche de celle de la population générale que dans les groupes des hommes ayant des rapports sexuels avec des hommes (HSH), des personnes hétérosexuelles et en présence de paramètres immunitaires favorables, alors que ce succès ne s’applique pas aux autres strates.
Il s’avère une fois de plus que seules les personnes appartenant à une strate sociale supérieure, diagnostiquées précocement dans l’évolution de la maladie et recevant un traitement efficace à long terme tirent le plus grand profit du traitement. Inversement, il convient de souligner la nécessité de fournir des efforts supplémentaires pour atteindre les groupes moins privilégiés et les amener à observer le traitement de manière stable et à long terme. C’est la seule façon de garantir une répercussion du succès clinique des traitements antirétroviraux à grande échelle. À cela s’ajoute le fait que le traitement est devenu si simple à utiliser que les connaissances spécialisées nécessaires pour prendre en charge les personnes vivant avec le VIH sont moindres. Les médecins non spécialistes interviennent par conséquent davantage dans la prise en charge de ce groupe de patient·es.
Données sur les comorbidités
Ces dernières années, la mortalité liée au sida a nettement diminué dans les pays développés, tandis que les maladies cardiovasculaires et les tumeurs malignes non classant sida sont devenues, avec d’autres troubles, les principales causes de décès prématuré.3 Cela est particulièrement vrai pour les personnes vivant avec le VIH plus âgées. Un grand nombre d’études ont permis de déterminer les bases de cette évolution. L’activation immunitaire chronique et l’immunosénescence accélérée ont notamment été identifiées comme corrélats physiopathologiques de cette évolution.4
Le spectre des maladies à traiter outre l’infection par le VIH est de plus en plus large et exige l’intervention d’autres disciplines. Les directives de l’European AIDS Clinical Society (EACS), dans lesquelles ces maladies occupent une place toujours plus importante, en témoignent.5 Les personnes vivant avec le VIH ne consultent plus seulement leurs spécialistes en infectiologie, en gynécologie ou en ophtalmologie, mais sont orientées vers la cardiologie, la gastroentérologie, l’hémato-oncologie, la néphrologie, l’ostéologie, la psychiatrie, la diabétologie, etc., pour une prise en charge complète.
Alors que de nombreux troubles doivent être traités par ces disciplines, les patient·es font souvent seulement un saut chez leur infectiologue pour renouveler leur ordonnance. Cela peut renforcer l’impression que l’infection par le VIH devient un problème secondaire. Les deux exemples suivants permettent de nuancer cette observation.
Exemple de la cardiologie
En raison de l’augmentation considérable des maladies vasculaires, la cardiologie est très impliquée dans la prise en charge des personnes vivant avec le VIH. Dans ce contexte, l’European Society of Cardiology (ESC) a notamment apporté une contribution innovante à l’élaboration des normes. Avant 2019, les directives de l’ESC soulignaient déjà l’importance majeure du traitement hypolipémiant chez les personnes vivant avec le VIH,6 tandis que l’EACS ne publiait que des déclarations générales.5Aujourd‘hui encore et selon les nouvelles données,7 les recommandations de l’ESC vont nettement plus loin que celles de l’EACS.8
Cela montre le dynamisme des progrès scientifiques dans l’infection par le VIH ces derniers temps, y compris dans d’autres sociétés savantes. Les spécialistes du VIH feraient bien de ne pas aligner leurs stratégies thérapeutiques uniquement sur les directives de leur société savante, mais d’entamer un dialogue avec d’autres disciplines. C’est la seule façon de s’assurer également de la gestion efficace des risques et des comorbidités par l’infectiologie.
Exemple de l’oncologie
Le cancer est également important dans le contexte mentionné. L’augmentation significative d’un grand nombre de tumeurs malignes a conduit l’hémato-oncologie à s’intéresser de plus près à ce sujet. Les manifestations ne surviennent pas seulement plus tôt et, parfois, plus fréquemment que dans la population séronégative pour le VIH, mais déterminent désormais une grande partie de la prise en charge des personnes vivant avec le VIH.9 Cela comprend aussi les examens de dépistage, les hospitalisations, le suivi, etc. Du fait de la possibilité de combiner de manière avantageuse les traitements antirétroviraux courants avec d’autres médicaments, du statut immunitaire souvent préservé des personnes concernées ainsi que de la complexité des schémas actuels de chimiothérapie et d’immunothérapie, l’infection par le VIH passe souvent au second plan.
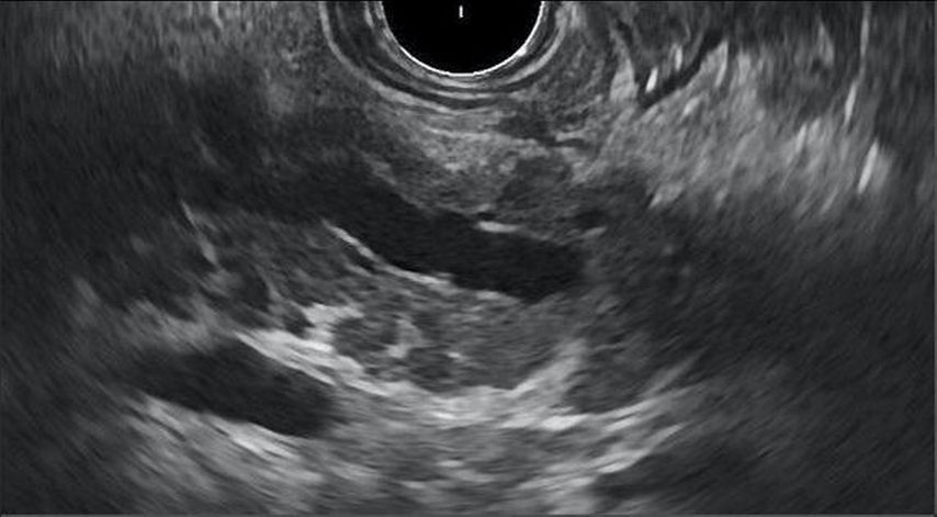
Fig.1: Image d’endo-échographie d’une pancréatite chronique. Nos données montrent que la pancréatite chronique est plus fréquente chez les personnes vivant avec le VIH que dans la population séronégative pour le VIH. Elle est présente chez 21% des personnes examinées, alors que la prévalence chez les personnes séronégatives pour le VIH est de 1‰ maximum selon la littérature (Göbbert A. 2023).10
Ce résultat cliniquement pertinent corrobore la thèse selon laquelle le spectre de la maladie va souvent bien au-delà du statut de séropositivité pour le VIH. Les comorbidités qui s’ajoutent à la maladie sous-jacente exigent une attention particulière, des efforts diagnostiques et une gestion cohérente. Cela peut uniquement réussir à l’aide d’une prise en charge coordonnée ou dirigée activement. L’infectiologie joue un rôle central
Dans ce contexte, il est important que l’infectiologie offre un programme d’accompagnement, de traitement de soutien, de conseil continu ainsi que de suivi afin de garantir une prise en charge globale. On peut citer à titre d’exemple le fait que les profils d’effets secondaires, les interactions médicamenteuses, la chimioprévention, les schémas de vaccination, les mesures diététiques ou autres présentent des défis particuliers chez les personnes vivant avec le VIH et atteintes de tumeurs malignes, qui peuvent uniquement être relevés en collaboration avec les spécialistes des disciplines concernées.
Rôle important de l’infectiologie
Les dyslipidémies et les tumeurs malignes doivent servir d’exemples illustrant le fait qu’un nombre croissant de patient·es ne perçoivent plus l’infection par le VIH comme leur problème principal, car les multiples autres maladies accaparent leur attention. L’infectiologie a pour mission de veiller, grâce à l’information et au conseil, à ce que l’infection par le VIH conserve sa place centrale dans le processus pathologique. C’est la seule façon de tenir suffisamment compte de la maladie sous-jacente, avec ses manifestations complexes et ses interdépendances. Cela oblige les spécialistes des disciplines concernées à avoir de vastes connaissances en médecine interne et à les appliquer, en particulier en lien avec l’infection par le VIH, ainsi qu’à la représenter à l’extérieur.
Résumé
Bien que la grande majorité des personnes vivant avec le VIH reçoivent un traitement efficace, il ne faut pas se «reposer» sur ce succès, car tous les groupes n’en bénéficient pas encore. L’intérêt des non-infectiologues et de nombreuses sociétés savantes «nouvelles» pour le VIH et le sida doit également inciter à maintenir activement le rôle moteur de l’infectiologie dans la prise en charge. Considérer l’infection comme un problème secondaire dans le cadre de la prise en charge ne rend pas justice à son importance en tant que pathologie complexe et difficile à traiter, et ne sert pas l’objectif de maintenir la fonction centrale de l’infectiologie dans la prise en charge des personnes vivant avec le VIH.
Littérature:
1 Gueler A et al.: AIDS 2017; 31: 427-36 2 Trickey A et al. Lancet HIV 2023;10:e295-307 3 Trickey A et al.: Lancet HIV 2024; 11: e176-185 4 Thirugnanam S et al.: Curr Issues Mol Biol 2024; 46: 4768-86 5 EACS Guidelines: https://www.eacsociety.org/guidelines/eacs-guidelines/ ; dernier accès le 19.11.2025 6 Grundy SM et al.: Circulation 2019; 139: e1082-143 7 Grinspoon SK et al.: New Engl J Med 2023; 389: 687-99 8 Mach F al.: Eur Heart J 2025; 46: 4359-78 9 Vaccari LC et al.: HIV Med 2025; 26: 1258-66 10 Göbbert A.: urn:nbn:de:hbz:061-20240514-160929-2; dernier accès le 8.1. 2025
Das könnte Sie auch interessieren:
Gérer les effets indésirables de manière ciblée: pratique selon les directives S3 et internationales
Les thérapies systémiques contre le cancer prolongent la survie et permettent de contrôler les maladies tumorales. Il est déterminant que les patient·es tolèrent bien le traitement. Cela ...
Mise à jour: comment éviter les transfusions?
Chez les patient·es à faible risqueatteint·es de syndromes myélodysplasiques (SMD), l’anémie nécessitant des transfusions constitue souvent le principal problème altérant la qualité de ...
La radiothérapie adjuvante à l’ère des thérapies systémiques modernes
La radiothérapie adjuvante demeure un élément central dans le traitement des tumeurs malignes cutanées, malgré les progrès réalisés avec les immunothérapies et les thérapies ciblées. ...