Operatives Management

Korrektur assoziierter Gelenkspathologien beim kongenitalen Femurdefekt

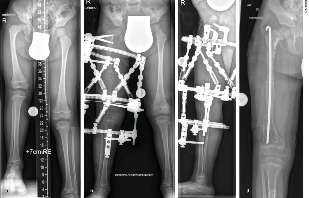
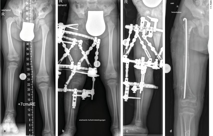
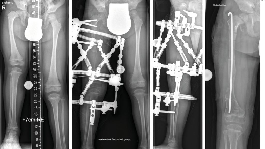
Der kongenitale Femurdefekt ist eine der spannendsten und komplexesten angeborenen Fehlbildungen in der Kinderorthopädie und in der klinischen Präsentation sehr vielgestaltig. Während auf den ersten Blick die Verkürzung des Beins/des Femurs augenscheinlich ist, sind es die assoziierten Veränderungen an Hüfte und Kniegelenk, welche die Therapie herausfordernd machen und vor einer Verlängerung adressiert werden müssen.

Zu den angeborenen Längsdefekten der unteren Extremität zählen neben dem kongenitalen Femurdefekt (CFD) die Fibulahemimelie (FH) und die Tibiaaplasie/-hemimelie. Der Femurdefekt reicht von einer milden Verkürzung des Femurs bis zu seinem fast vollständigen Fehlen, und auch die Fibulahemimelie kann sich von einer milden Verkürzung des Unterschenkels bis zu einer massiven Verkürzung mit schweren Veränderungen am Sprunggelenk präsentieren. Der CFD und die FH kommen fast immer gemeinsam vor, wobei die meisten Fälle eine klare Dominanz der einen oder anderen Pathologie zeigen und die sekundäre Deformität sich oft nur durch minimale Veränderungen an Knochen oder Gelenk präsentiert. Die Tibiaaplasie/-hemimelie ist oft mit Syndromen mit zusätzlichen Fehlbildungen oder Duplikaturen an Hand und Fuß verbunden. Diese Form ist mit einer Inzidenz von 1:1000000 sehr selten.

Vielen Dank für Ihr Interesse!

Einige Inhalte sind aufgrund rechtlicher Bestimmungen nur für registrierte Nutzer bzw. medizinisches Fachpersonal zugänglich.


Sie sind bereits registriert?
Loggen Sie sich mit Ihrem Universimed-Benutzerkonto ein:

Login

Sie sind noch nicht registriert?
Registrieren Sie sich jetzt kostenlos auf universimed.com und erhalten Sie Zugang zu allen Artikeln, bewerten Sie Inhalte und speichern Sie interessante Beiträge in Ihrem persönlichen Bereich zum späteren Lesen. Ihre Registrierung ist für alle Unversimed-Portale gültig. (inkl. allgemeineplus.at & med-Diplom.at)

Registrieren

Back to top