Relevanz der Beinachse bei der Therapie von degenerativen Meniskusläsionen
Autor:innen:
Dr. Clelia Appel-Ersek
Dr. Darian Bayerl
PD Dr. Markus Neubauer
Prof. Dr. Dietmar Dammerer
Klinische Abteilung für Orthopädie und Traumatologie
Universitätsklinikum Krems
Karl Landsteiner Privatuniversität für Gesundheitswissenschaften, Krems
Korrespondenz:
E-Mail: dietmar.dammerer@krems.lknoe.at
Sie sind bereits registriert?
Loggen Sie sich mit Ihrem Universimed-Benutzerkonto ein:
Sie sind noch nicht registriert?
Registrieren Sie sich jetzt kostenlos auf universimed.com und erhalten Sie Zugang zu allen Artikeln, bewerten Sie Inhalte und speichern Sie interessante Beiträge in Ihrem persönlichen Bereich
zum späteren Lesen. Ihre Registrierung ist für alle Unversimed-Portale gültig. (inkl. allgemeineplus.at & med-Diplom.at)
Die Beinachse spielt eine zentrale Rolle in der Biomechanik des Kniegelenks und beeinflusst maßgeblich die Entstehung, den Verlauf sowie die Therapieoptionen degenerativer Meniskusläsionen. Für die therapeutische Entscheidungsfindung bedeutet das, dass eine rein symptomorientierte Behandlung der Meniskusläsion ohne Berücksichtigung der Beinachse nur von begrenztem Erfolg sein kann.
Keypoints
-
Degenerative Meniskusläsionen entstehen schleichend und betreffen bevorzugt den medialen Meniskus.
-
Die Ausrichtung der Beinachse ist ein wesentlicher mechanischer Faktor, der zur Entstehung und Progression solcher Läsionen beitragen kann.
-
Eine initiale, konservative Therapie mit Physiotherapie, Schmerzmedikation und gegebenenfalls intraartikulären Injektionen wird zunehmend als Erstlinientherapie empfohlen.
-
Bei operativen Eingriffen ist eine neutrale Achsstellung entscheidend für den langfristigen Erfolg.
Degenerative Meniskusläsionen stellen eine der häufigsten Ursachen für chronische Knieschmerzen im mittleren und höheren Lebensalter dar. Sie sind eng mit dem biologischen Alterungsprozess sowie der mechanischen Überlastung des Kniegelenks assoziiert. Im Gegensatz zu traumatischen Rissen entstehen sie schleichend und betreffen bevorzugt den medialen Meniskus, oft ohne erinnerliches Unfallereignis.1–3 Mit zunehmendem Alter steigt die Häufigkeit deutlich an: So finden sich degenerative Meniskusläsionen bei etwa 16% der Frauen im Alter von 50–59 Jahren, während sie bei Männern im Alter von 70–90 Jahren in über 50% der Fälle nachweisbar sind.4 Ein wesentlicher mechanischer Faktor, der zur Entstehung und Progression solcher Läsionen beitragen kann, ist die Ausrichtung der Beinachse. Eine varische Beinachse führt zu einer vermehrten Lastübertragung auf das mediale Kompartiment und kann somit die Entstehung und das Fortschreiten degenerativer Veränderungen im Innenmeniskus begünstigen.5,6 Trotz dieser bekannten Zusammenhänge wird die Beinachse in der klinischen Routine bei degenerativen Meniskusveränderungen nicht immer systematisch berücksichtigt. Eine differenzierte Betrachtung ist jedoch entscheidend für eine zielgerichtete Therapieplanung – insbesondere im Hinblick auf gelenkerhaltende Maßnahmen. Ziel dieses Artikels ist es, die Bedeutung der Beinachse bei degenerativen Meniskusläsionen anhand eines Fallbeispiels darzustellen und somit die Relevanz für Diagnostik und Therapie aufzuzeigen.
Degenerative Meniskusläsionen
Degenerative Meniskusläsionen finden sich überwiegend bei Patient:innen mittleren und höheren Alters. Im Gegensatz zu den traumatischen Meniskusläsionen entstehen sie durch repetitive Krafteinwirkung im Alltag oder durch Bagatelltraumen.7,8 Mit zunehmendem Alter kommt es zu einer signifikanten Abnahme der Kollagen-Quervernetzungen. Diese degenerativen Veränderungen führen zu einer verminderten Belastbarkeit des Meniskus und erhöhen das Risiko für Einrisse. Degenerative Risse stellen überwiegend komplexe Läsionen dar, die häufig im Hinterhorn des medialen Meniskus lokalisiert sind.7,8 Darunter fallen Horizontalläsionen und Komplexläsionen mit horizontaler oder vertikaler Rissbildung.9
In den letzten Jahren kam es zu einem Umdenken in der Behandlung degenerativer Meniskusläsionen. Eine initiale, konservative Therapie mit Physiotherapie, Schmerzmedikation und gegebenenfalls intraartikulären Injektionen wird zunehmend als Erstlinientherapie empfohlen. Arthroskopische Teilresektionen sollten nach Ausbleiben des Therapieerfolgs oder bei ausgeprägten mechanischen Symptomen, wie Einklemmsymptomatik oder Blockierungsphänomenen, eingesetzt werden.4,10,11 Studien zeigen, dass die Meniskus-Teilresektion in vielen Fällen keinen zusätzlichen Nutzen gegenüber nichtoperativen Verfahren bietet und langfristig das Risiko sowie die Progression einer Gonarthrose steigern kann. Daher wird insbesondere bei älteren Patient:innen mit fortgeschrittenen degenerativen Meniskusläsionen und begleitender Gonarthrose von primären arthroskopischen Interventionen abgeraten.4,10,12,13 Dieser Aspekt ist vor allem bei einer Achsenfehlstellung von Relevanz: Durch den iatrogen verursachten Verlust des Meniskus kommt es zu weiter gesteigerten Druckverhältnissen im betreffenden Gelenkskompartiment und somit oft zu einer Progression des Krankheitsbildes.
Rolle der Beinachse
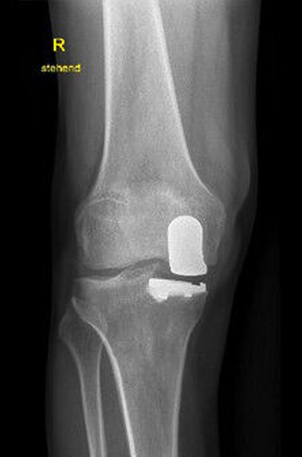
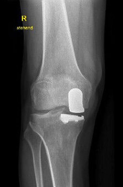
Abb. 3: Postoperatives Bild nach Implantation einer medialen Hemischlittenprothese
Die Beinachse spielt eine wichtige Rolle in der Biomechanik des Kniegelenks. Bereits geringe Abweichungen von der neutralen Beinachse verändern die Druckverhältnisse im Kniegelenk erheblich. Mechanische Überlastungen und fehlende Achskorrektur erhöhen das Risiko für die Progression degenerativer Veränderungen bis hin zum Morbus Ahlbäck. Eine Varusfehlstellung, die häufig bei medialen Meniskusläsionen beobachtet wird, erhöht die Belastung auf das mediale Kompartiment. Dies führt zu einem beschleunigten Knorpel- und Meniskusverschleiß sowie zur Meniskusextrusion. In biomechanischen Untersuchungen wurde gezeigt, dass eine Varusstellung, die die mechanische Achse durch etwa 45% der Tibia-Plateau-Breite (TPW) verschiebt, zu einer Erhöhung der Spitzenbelastung im medialen Kompartiment um 18,5% gegenüber der neutralen Achse führt. Bei stärkerer Varusstellung (40% TPW) ist sogar eine Erhöhung um 37,4% beobachtet worden. Hingegen belastet eine Valgusfehlstellung das laterale Kompartiment und kann degenerative Läsionen im Außenmeniskus begünstigen.5,4,15 Klinische Serien und Metaanalysen belegen zudem, dass Patient:innen nach partieller Meniskusresektion ein erhöhtes Risiko für radiologische und klinische Progression zur Gonarthrose bzw. für spätere Endoprothesen haben.16
Ein weiterer kritischer Aspekt ist das Risiko für eine postarthroskopische Osteonekrose. Hinsichtlich der Pathogenese werden unterschiedliche Ursachen diskutiert: Zum einen gelten Meniskusläsionen als möglicher Hauptfaktor, zum anderen werden intraoperative Traumata, ein erhöhter intraartikulärer Druckanstieg während der Arthroskopie sowie veränderte Lastübertragungen nach partiellen Meniskusresektionen als ursächlich in Betracht gezogen.17 Nach partiellen Meniskusresektionen kann es zu einem signifikanten Anstieg subchondraler Druckspitzen kommen. Diese mechanische Überlastung fördert die Entstehung von Mikrofrakturen sowie subchondralen Perfusionsstörungen, die in der Folge in eine Osteonekrose übergehen können. Kobayashi et al. berichteten, dass bei 25% der Patient:innen nach partieller Meniskektomie eine juxtaartikuläre Osteonekrose auftrat, nach totaler Meniskektomie sogar bei 50%. Die Lokalisation der Nekrosen war variabel: In 16 von 32 Fällen manifestierten sie sich sowohl am tibialen als auch am femoralen Kondylus, in zehn Fällen isoliert am Tibiaplateau und in sechs Fällen ausschließlich am Femurkondylus. Nach medialer Teilmeniskektomie zeigte sich eine Prädisposition zur Manifestation im medialen femoralen Anteil, wohingegen nach lateraler Teilmeniskektomie überwiegend der laterale tibiale Anteil betroffen war.18 In der klinischen Praxis bedeutet dies, dass präoperativ eine alleinige MRT-Untersuchung des Meniskus nicht ausreicht. Vor allem bei klinischem Verdacht auf eine Achsenabweichung sollte eine Ganzbein-Standaufnahme zusätzlich durchgeführt werden. Nur so lässt sich die mechanische Beinachse zuverlässig beurteilen und in die Therapieplanung einbeziehen.
Fallbeispiel
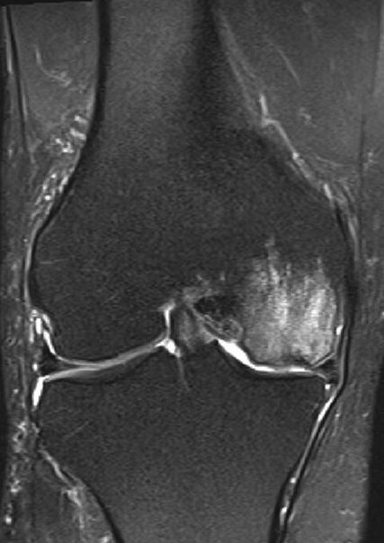
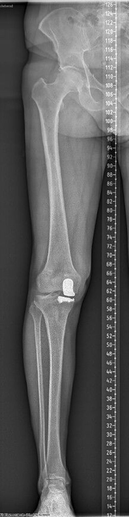
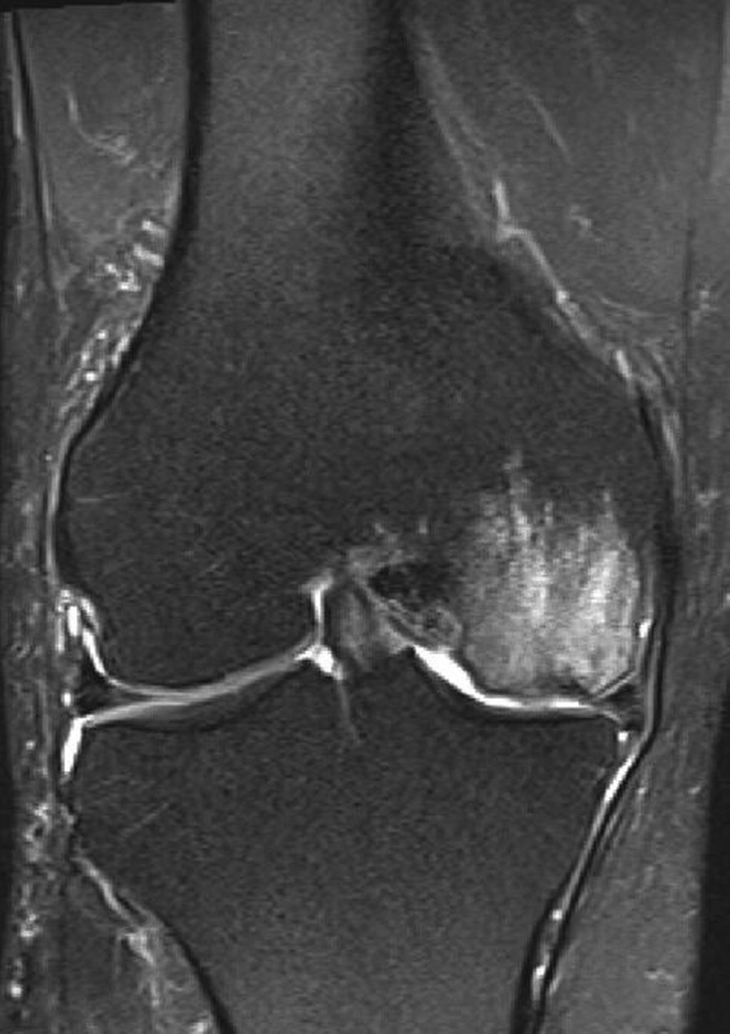
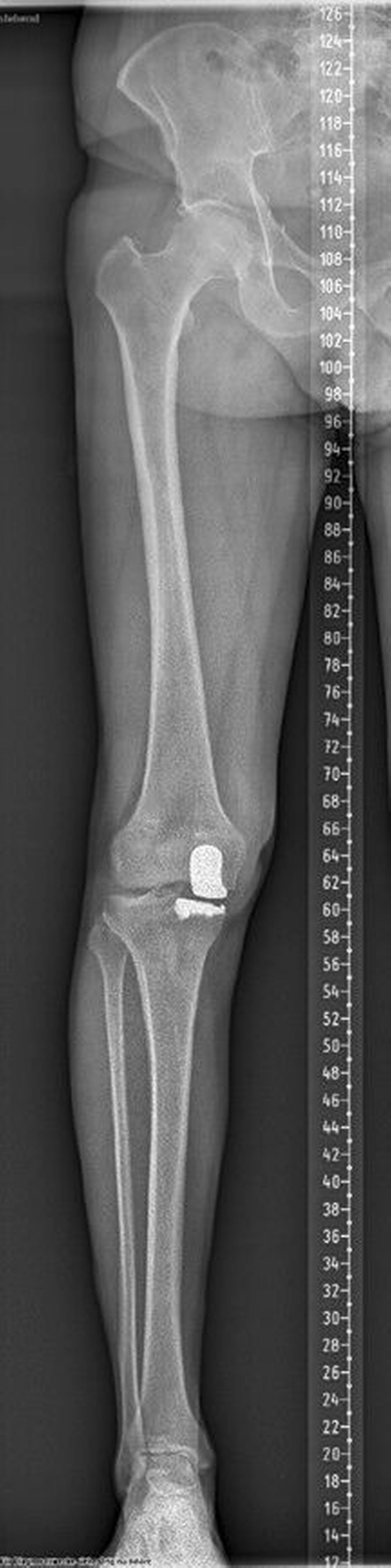
Ein 62-jähriger Patient stellte sich im März 2025 mit belastungsabhängigen Knieschmerzen rechts vor. Im MRT zeigte sich eine Läsion des medialen Meniskus, sodass in Zusammenschau mit dem positiven Meniskuszeichen in der klinischen Untersuchung eine partielle Meniskektomie durchgeführt wurde. Die postoperative Phase verlief zunächst unauffällig. Der Patient berichtete über ein beschwerdefreies Intervall von rund sieben Wochen. Anschließend entwickelten sich jedoch erneut zunehmende Schmerzen im rechten Kniegelenk, die eine erneute Vorstellung in der Spezialambulanz erforderlich machten. Er berichtete vor allem über belastungsabhängige Schmerzen im Bereich des medialen Kniegelenks. Daraufhin wurde ein Ganzbeinröntgen zur Beurteilung der Beinachse durchgeführt, hier zeigte sich eine varische Beinachse mit 5 Grad Varus (Abb.1). In der ergänzend durchgeführten MRT-Untersuchung konnte medialseitig eine ausgeprägte Nekrosezone am medialen Femurkondyl nachgewiesen werden (Abb.2). Schlussendlich wurde aufgrund dieses Befundes die Indikation zur Implantation einer medialen Hemischlittenprothese rechts gestellt, die schließlich im August 2025 komplikationslos durchgeführt wurde (Abb.3+4).
Diskussion
Eine rein symptomorientierte Behandlung der Meniskusläsion ohne Berücksichtigung der Beinachse kann von nur begrenztem Erfolg sein. Während konservative Maßnahmen in vielen Fällen eine suffiziente Beschwerdelinderung erreichen, besteht bei persistierender Fehlbelastung durch eine Achsenabweichung das Risiko für einen fortschreitenden strukturellen Schaden. Insbesondere operative Eingriffe wie arthroskopische Teilresektionen sollten kritisch im Kontext der individuellen Gelenkbiomechanik beurteilt werden. Zahlreiche Langzeitstudien weisen darauf hin, dass diese Eingriffe bei Patient:innen mit degenerativen Läsionen und begleitender Fehlstellung häufig keinen nachhaltigen Benefit bieten und sogar das Arthroserisiko erhöhen können.4 Ergänzend zeigen Daten, dass selbst bei von Patient:innen geschilderter Einklemmungssymptomatik – die von vielen Operateur:innen als Operationsindikation gewertet wird – häufig kein relevanter Vorteil durch die Arthroskopie entsteht.19 Laut aktuellen Empfehlungen der Gesellschaft für Arthroskopie und Gelenkchirurgie (AGA) sollte zunächst ein konservativer Therapieversuch über 3 Monate erfolgen und bei ausbleibender Besserung die Arthroskopie in Betracht gezogen werden. Bei mechanischer Symptomatik kann die Teilresektion auch schon früher erwogen werden. Ein differenzierter Therapieansatz erfordert daher eine ganzheitliche Betrachtung des Kniegelenks. Neben konservativen Maßnahmen, wie Physiotherapie und valgisierenden Orthesen, sollte in ausgewählten Fällen die operative Korrektur der Beinachse in die Therapieüberlegungen einbezogen werden. Oft wird eine rasche und unkomplizierte Lösung für die bestehenden Schmerzen gewünscht. Hier gilt es, die Patient:innen umfassend und ausführlich über das Krankheitsbild aufzuklären sowie die potenzielle Beschwerdeverschlechterung anzusprechen. Zusammenfassend lässt sich festhalten, dass die Beinachse ein wesentlicher, bisher aber oft unterschätzter Faktor bei der Behandlung degenerativer Meniskusläsionen ist. Ihre Berücksichtigung ermöglicht eine präzisere Therapieplanung, kann das Risiko für iatrogene Schäden reduzieren und eröffnet neue Perspektiven im Sinne eines gelenkerhaltenden Behandlungskonzepts.
Fazit
Eine degenerative Meniskusläsion verlangt immer eine ganzheitliche Betrachtung des gesamten Knieapparats – insbesondere der Beinachse. Bei operativen Eingriffen ist eine neutrale Achsstellung entscheidend für den langfristigen Erfolg und die Schonung des Gelenks. Ohne Achskorrektur können selbst minimalinvasive Eingriffe zu einer Überlastung führen und die Arthroseentwicklung beschleunigen.
Literatur:
1 Luvsannyam E et al.: Meniscus tear: pathology, incidence, and management. Cureus 2022; 14(5): e25121 2 Crema MD et al.: The association of prevalent medial meniscal pathology with cartilage loss in the medial tibiofemoral compartment over a 2-year period. Osteoarthritis Cartilage 2010; 18(3): 336-43 3 Edd SN et al.: The role of inflammation in the initiation of osteoarthritis after meniscal damage. J Biomech 2015; 48(8): 1420-6 4 Seil R et al.: Editorial commentary: surgical management of degenerative meniscus lesions is a second – but not a first-line treatment. Arthroscopy: The Journal of Arthroscopic and Related Surgery 2021; 37(5): 1554-6 5 Sharma L et al.: The role of knee alignment in disease progression and functional decline in knee osteoarthritis. JAMA 2001; 286(2): 188-95 6 Brouwer GM et al.: Association between valgus and varus alignment and the development and progression of radiographic osteoarthritis of the knee. Arthritis Rheum 2007; 56(4): 1204-11 7 Howel R et al.: Degenerative meniscus: pathogenesis, diagnosis, and treatment options. World J Orthop 2014; 5(5): 597-602 8 Nesbitt DQ et al.: Age-dependent changes in collagen crosslinks reduce the mechanical toughness of human meniscus. Journal of Orthopaedic Research® 2024; 42(8): 1870-9 9 Christoforakis J et al.: Is there an association between articular cartilage changes and degenerative meniscus tears? Arthroscopy. The Journal of Arthroscopic & Related Surgery 2005; 21(11): 1366-9 10 Beaufils P et al.: Surgical management of degenerative meniscus lesions: the 2016 ESSKA meniscus consensus. Knee Surgery, Sports Traumatology, Arthroscopy 2017; 25(2): 335-46 11 Hohmann E: Treatment of degenerative meniscus tears. Arthroscopy: The Journal of Arthroscopic and Related Surgery 2023; 39(4): 911-2 12 Petersen W et al.: Gonarthrose. Knie Journal 2023; 5(2): 103-113 13 Lubowitz JH et al.: Nonoperative management of degenerative meniscus tears is worth a try. Arthroscopy: The Journal of Arthroscopic & Related Surgery 2020; 36(2): 327-8 14 Kozaki T et al.: Medial meniscus extrusion and varus tilt of joint line convergence angle increase stress in the medial compartment of the knee joint in the knee extension position-finite element analysis. J Exp Orthop 2022; 9(1): 49 15 Willinger L et al.: Effect of lower limb alignment in medial meniscus – deficient knees on tibiofemoral contact pressure. Orthop J Sports Med 2019; 7(2): 2325967118824611 16 Migliorini F et al.: Meniscectomy is associated with a higher rate of osteoarthritis compared to meniscal repair following acute tears: a meta-analysis. Knee Surg Sports Traumatol Arthrosc 2023; 31(12): 5485-495 17 Anagnostakos K et al.: Die postarthroskopische Osteonekrose. Arthroskopie 2006; 19(2): 151-6 18 Kobayashi Y et al.: Juxta-articular bone marrow signal changes on magnetic resonance imaging following arthroscopic meniscectomy. Arthroscopy: The Journal of Arthroscopic & Related Surgery 2002; 18(3): 238-45 19 Sihvonen R et al.: Mechanical symptoms as an indication for knee arthroscopy in patients with degenerative meniscus tear: a prospective cohort study. Osteoarthritis Cartilage 2016; 24(8): 1367-75
Das könnte Sie auch interessieren:
Frühe Unterwassertherapie nach totaler Hüft- und Knieendoprothese
Eine frühzeitige Durchführung der Unterwassertherapie mit wasserdichtem Folienverband ab dem vierten postoperativen Tag ist im Allgemeinen sicher, wirksam und ohne Nebenwirkungen.
Aktuelles zur anteromedialen Knieinstabilität
Kombinierte Verletzungen des medialen Kollateral- (MCL) und des vorderen Kreuzbandes (VKB) zählen zu den häufigsten multiligamentären Knieverletzungen. Bei vermeintlich isolierten VKB- ...
Arthroskopische Behandlung von Glenoidrandfrakturen
In der Literatur werden die Begriffe knöcherne Bankart-Läsion und Glenoidrandfraktur häufig synonym verwendet, obwohl sie sich hinsichtlich Pathomechanismus und Therapie deutlich ...